Thinking About Dental Implants?
Start Free!

Save $550

Free consultation this

What You Get On
Your Consultation:

  • Panoramic X-Ray (CBCT Scan) to evaluate your bone and remaining teeth
  • Digital Implant Simulation
  • Smile evaluation focused on your goals & concerns
  • Custom treatment plan – single tooth, multiple teeth, or full-arch options
  • Full Oral Health Assessment
  • Transparent pricing & financing options

Fill out this 15-second survey and our team will call you to schedule your appointment.

Which condition best
describes you *

How long have you been
coping with this? *

Are You Currently Unable To Eat Certain Foods Or Have To Modify The Way You Chew? *

Are You Currently Experiencing A Lack Of Confidence In Social Situations or Find Yourself Hiding Your Smile? *

What's really kept you
from getting help? *

Why do you want to
find a solution? *

Ready to leave this issue behind for good? Let's take the first step.

Dental implant treatments most of the times are not covered by insurance.

However, payment plans are available through dental financing & healthcare financing and are typically approved based on the credit history of the patient and/or a co-signer.

Which affordable payment options would you be interested in? *

Which option best describes your monthly budget for your desired treatment? *

Which option below best describes your credit history? *

Based on your credit score, It appears you may need a co-applicant to qualify for dental financing. Is there someone with good to excellent credit who might be able to assist you with the application? *

Is this a treatment you'd want to start soon? (Patients without teeth lose up to 25% of their bone width within the first year. The longer you wait to replace missing teeth, the more advanced your bone loss will become). *

Upon receiving your survey, we will contact you to schedule your consultation. Do you commit to answering our call to schedule your consultation? *

Claim Your Free Implant
Consultation Today

It's Time To Get Your Life Back!

Get a Dental
Implant Consultation

  • No more food restrictions
  • No more hiding your smile
  • No more discomfort!
Claim Your Free Implant
Consultation Today

By Filling Out The 15-second Survey

First Smile Family Dental team
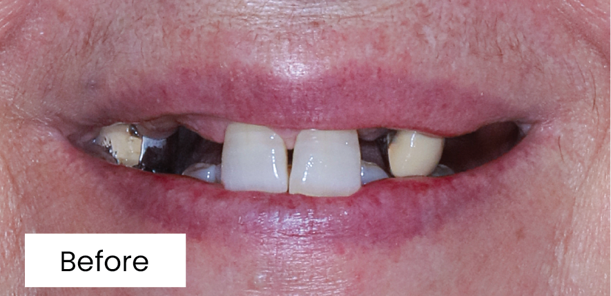
Real Patient Results

Real Stories, Real Lives Saved

See what's possible, then imagine your own transformation

Cosmetic Dentistry, Restoration Dentistry, Emergency Care

Claim Your Free Implant
Consultation Today
Real Patient Results

Real Patient Results
Before & After

See what's possible, then imagine your own transformation

Before After
Before After
Before After
Before After
Before After
Before After
Before After
Before After
Before After
Before After
Before After
Before After
Claim Your Free Implant
Consultation Today

Trusted by Patients.
Proven by Results.

Hear from other patients just like you who trust us with their smile

What Our Customers Say

Reviews

4.9

(483)

Review us on Google
rayochapin

rayochapin

a month ago

I cannot recommend First Smile Family Dental enough! From the moment I walked in, I felt the genuine care and warmth that this office exudes. Dr. Nguyen was absolutely fantastic. She took the time to explain every single detail about my upcoming implant procedure, making sure I understood the process and felt completely at ease with the plan. It's rare to find a doctor who is so thorough and patient with their explanations.

Read more
Julia Prichard

Julia Prichard

4 months ago

I had such an amazing experience here! Everyone was super sweet from the moment I walked in. The front desk ladies were so kind and welcoming. The staff made me feel really comfortable, and they even had a TV on the ceiling so you can pick a show to watch while you're getting your teeth worked on, which was honestly such a nice touch.

Read more
K

Kasey Craig

4 weeks ago

Had a really great experience with my new patient exam and cleaning! Everyone was very friendly, and the dentist and hygienist were super gentle and considerate. The space is also really clean and modern!

Read more
A

Anthony Lopez

3 months ago

Great place, well experience staff on site, great customer service, well organized, i recommend it their work is great they send you home with a smile, Fozia dr zhou

Read more
A

Abel Wersom

11 months ago

Clean, and nice professionals. I called in for an emergency, and not only did they see me same day but followed thru to make sure the pharmacy had my prescription. From the front office to the wonderful dentist these guys put their patients first. Thank you.

Read more
M Y

M Y

3 years ago

I have received excellent care and I highly recommend this dentist and her staff. My follow up visit was as equally pleasant as the first. Thank you for your kindness! Second follow up, and equally as pleased! Five more stars!

Read more
Claim Your Free Implant Consultation Today
Meet Our Doctors

Dr. Vien Nguyen & Dr. Zhou

Dr. Vien Nguyen and Dr. Zhou combine advanced clinical training with a compassionate, patient-centered approach — guiding every First Smile patient toward lasting oral health and confident smiles.

Dr. Vien Nguyen

Dr. Vien Nguyen's journey into dentistry began with a strong foundation in nursing, followed by earning her Doctor of Dental Science degree from the prestigious University of Washington School of Dentistry. She continued her training through a residency at Tukwila Dental Clinic - HealthPoint CHC, where she later returned as a faculty member in 2018, helping shape the next generation of dental professionals.

Known for her compassionate, patient-centered approach, Dr. Nguyen combines clinical expertise with a genuine commitment to care. She is passionate about giving back, with a long-term goal of participating in missionary work to support children in need.

Dr. Vien Nguyen
Dr. Zhou

Dr. Zhou

Dr. Zhou brings a unique blend of scientific expertise and clinical precision to her dental practice. Originally from China, she moved to Seattle as a teenager and went on to earn both her undergraduate and master's degrees from the University of Washington, specializing in Biochemistry and Environmental Toxicology. She spent six years working in toxicology at Amgen before following her true passion - dentistry.

She earned her Doctor of Dental Medicine degree from Western University of Health Sciences in California and completed an Advanced Education in General Dentistry residency at Unify Community Health in Spokane, where she further refined her clinical skills.

Dr. Zhou is deeply committed to providing high-quality, personalized care while helping patients understand the important connection between oral health and overall well-being. She takes pride in delivering results that are both functional and aesthetic, guiding her patients toward long-term oral health with a thoughtful, educational approach.

Claim Your Free Implant Consultation Today
Quality of Life

Implants Benefits

Speak, smile, and laugh freely knowing your teeth are secure.

Long-lasting solution

Natural look & feel

Eat & smile with confidence

Boost self-esteem

Avoid bone loss

Claim Your Free Implant Consultation Today
Prevent

Future physical
& mental illnesses

Did you know that poor oral health can seriously affect your entire body, not just your mouth?

Take a look at the image to see just how many areas of your health are impacted by what’s happening in your mouth. Issues like gum disease, chronic inflammation, and untreated dental problems have been linked to all of these conditions both physical and mental.

Diagram of a human body silhouette with lines connecting to icons representing the brain, lungs, heart, immune system, and blood — illustrating how oral health affects whole-body health Claim Your Free Implant Consultation Today
Why Choose

Dental Implants?

Learn how millions of Americans are replacing their teeth for life!

Patients no longer have to deal with low-quality temporary solutions like dentures, bridges, or partials. Dental implants are the new leading standard in tooth replacement options. They act and feel just like real teeth with an average lifespan of 20+ years. Most traditional replacement solutions - like bridges or dentures - need to be replaced every 7 to 10 years resulting in hundreds of wasted dollars. Implants offer a long term solution for patients who want the best quality of life possible.

Cross-section illustration of a dental implant showing the titanium screw post anchored in the jawbone with a porcelain crown on top, surrounded by natural teeth and gum tissue

Treatment Process

Reduces anxiety and perceived complexity

1
Consultation

Meet with our implant specialist to discuss your needs, review your dental health, and explore the best treatment options. No pressure — just answers.

2
Digital Scan

We take a quick 3D scan of your mouth to precisely plan the implant placement. No messy impressions, no discomfort — just accuracy.

3
Implant Placement

Your implant is placed with precision using advanced technology for maximum comfort and long-term success. Most patients return to daily life the next day.

4
Smile!

Once healed, your new tooth is placed and you can smile, eat, and live with total confidence. It's a life-changing transformation in just a few steps.

illustration of a dental implant with metal screw post positioned between natural teeth
Let’s Talk About

Flexible Options

We understand that Medicare and Medicaid don’t cover implants, which can make the decision to proceed difficult. But waiting could end up costing more in both health and overall well-being.

Fortunately, our flexible financing options mean you don’t have to delay getting the care you need!

Allegro Credit Alphaeon CareCredit Momnt Proceed Finance
Sunbit Cherry LendingClub
Claim Your Free Implant Consultation Today
Still Not Sure?

Frequently Asked Questions

Get In Touch With Us
Today!

First Smile Family Dental – All Rights Reserved 2026.
32717 1st Ave S., Suite 9, Federal Way, WA 98003 – Privacy Policy